Ağciyər emfizeması
Giriş
Ağciyər emfizeması – ağciyərlərin hava miqdarının patoloji olaraq artması və terminal bronxiollardan etibarən ağciyər toxumasının geridönməz şəkildə destruksiyası ilə xarakterizə olunan xəstəlikdir.
Etiologiya
Əsas səbəblər:
- Siqaret çəkmə (90% hallarda)
- Passiv siqaret çəkmə (siqaret tüstüsünə məruz qalma)
- Ətraf mühit amilləri (zərərli qazlar, tozlar)
- Genetik faktorlar (məsələn: alfa-1-antitripsin çatışmazlığı)
Təsnifat
- Sentrilobulyar forma:
- Ən çox rast gəlinən formadır
- Etiologiya: adətən, xroniki obstruktiv ağciyər xəstəliyi ilə əlaqəlidir
- Lokalizasiya: əsasən, ağciyərin yuxarı paylarında yerləşir
- Panlobulyar forma:
- Daha nadir hallarda rast gəlinir
- Etiologiya: adətən, alfa-1-antitripsin çatışmazlığı nəticəsində meydana çıxır
- Lokalizasiya: əsasən, ağciyərin aşağı paylarında yerləşir
Patofiziologiya
Xroniki iltihab prosesləri nəticəsində:
- Tənəffüs yolları daralır - nəfəs verən zaman terminal bronxiollar kollaps olur və hava ağciyərlərdə ilişib qalır.
- Ağciyər havalanmasının artması - alveollar həddindən artıq genişlənir və qaz mübadiləsində iştirak etməyən emfizema kisəciklərinin əmələ gəlir.
Simptomlar
Ağciyər emfizemasının əsas simptomları:
- Təngnəfəslik
- Tənəffüs amplitudunun azalması
- Çəlləyəbənzər döş qəfəsi
- Sianoz (dəri rənginin solması)
- Öskürək
- İnspeksiya: çəlləyəbənzər döş qəfəsi
Diaqnostika
Fiziki müayinə:
- Perkussiya: timpanik səs
- Auskultasiya: tənəffüs səslərinin zəifləməsi
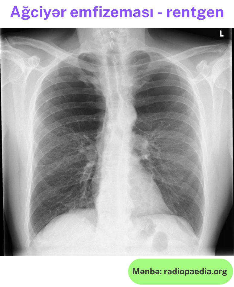
Rentgen müayinəsi:
- Döş qəfəsinin genişlənməsi
- Diafraqmanın aşağı enməsi və düzləşməsi
- Ağciyərdə havalanmanın artması
Kompüter tomoqrafiya (KT):
- Ağciyərin toxuma sıxlığının azalması
- KT vasitəsilə emfizemanın təsnifatını və buna uyğun olaraq səbəbini təxmin etmək mümkün olur
Spirometriya:
- Həyat tutumunun azalması
- Qalıq həcmin artması

Müalicə
Müalicə ilk növbədə əsas xəstəliyin (məsələn, XOAX , alfa-1-antitripsin çatışmazlığı) müalicəsinə və xəstəliyin irəliləyişini dayandırmağa yönəlmişdir. Əsas metodlar:
- Zərərli təsirlərin uzaqlaşmaq (siqaretdən imtina)
- Tənəffüs gimnastikası
- Uzuntəsirli beta-2-aqonistlər, antixolinergiklər və kortikosteroidlər
- Oksigen terapiyası