Axalaziya
Giriş
Axalaziya qida borusu peristaltikasının pozğunluğu ilə xarakterizə olunan nadir xəstəliyidir. Yanaşı olaraq aşağı qida borusu sfinkterinin də tonusu artmış olur ki, nəticədə bu simptomlar udma çətinliyinə gətirib çıxarır.
Etiologiya
Əksər hallarda, səbəb məlum deyil.
Simptomlar
- Disfaqiya (udqunma aktının çətinləşməsi):
- Tipik olaraq qidadan sonra maye içdikdə udqunmanın asanlaşması
- Qusma (mədə turşusu ilə qarışmamış qidanın qaytarılması)
- Qida borusu çatışmazlığı səbəbindən tez-tez aspirasiya
- Çəki itirilməsi (qida qəbulunun çətinləşməsi xəstəni yeməkdən çəkindirir)

Diaqnostika
Manometriya:
- Qida borusunin sakitlik təzyiqinin artması
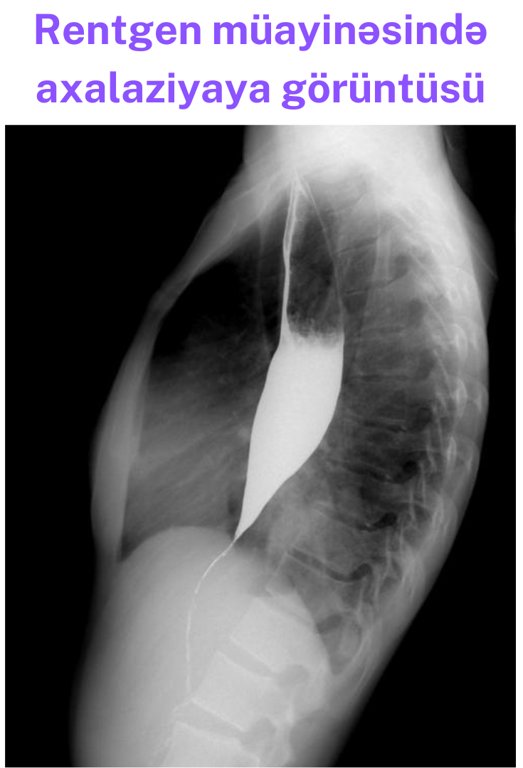
Qida borusunun rentgeni:
- Qida borusunun kardia hissəsinin qıfşəkilli daralması

Müalicə
Dərman terapiyası:
- Nifedipin (aşağı qida borusu sfinkterini relaksasiya edir)
Cərrahi müalicə:
- Pnevmatik balon dilatasiyası (əsas seçim metodu)
- Aşağı qida borusu sfinkterinə botulotoksin inyeksiyası
- Miotomiya:
- Uzunmüddətli terapiya olduğundan gənc xəstələrdə əsas üstünlük verilən metoddur
