Bronxektaziya
Giriş
Bronxektaziyalar bronxların geridönməz şəkildə genişlənməsidir. Təkrarlanan bronxitlər və bronxial sekresiyanın pozulması xəstəliyin ortaya çıxmasına şərait yaradır.
Etiologiya
Anadangəlmə bronxektaziyalar
Anadangəlmə bronxektaziyalara nadir hallarda aşağıdakı xəstəliklər zamanı rast gəlinir:
- Mukovissidoz
- Birincili kirpik disfunksiyası
Bronxektaziya yaranma riskini artıran digər anadangəlmə xəstəliklər:
- Alfa-1-antitripsin çatışmazlığı
- Bruton-Gitlin sindromu
- Chediak-Higashi sindromu
Qazanılmış bronxektaziyalar
Qazanılmış bronxektaziyalar daha çox yayılmışdır və bronx divarının zədələnməsi nəticəsində meydana gəlir:
- İnfeksion səbəblər (məsələn: qızılca, vərəm )
- Autoimmun xəstəliklər: məsələn, revmatoid artrit, xroniki iltihabi bağırsaq xəstəlikləri ( Kron xəstəliyi , xoralı kolit)
- Obstruktiv bronxektaziyalar (məsələn: yad cisim, şiş, limfadenopatiya)
- Fibrotik dəyişikliklərdən sonra yaranan bronxektaziyalar (məslən: sarkoidoz )
Simptomlar
Ən çox rast gəlinən simptomlara aiddir:
- Çoxlu bəlğəm ifrazı, xüsusilə səhərlər
- Bəlğəmli öskürək – selik axınının pozulması və təkrarlayan infeksiyalar səbəbilə
- Hemoptiz (qanlı bəlğəm)
Diaqnostika
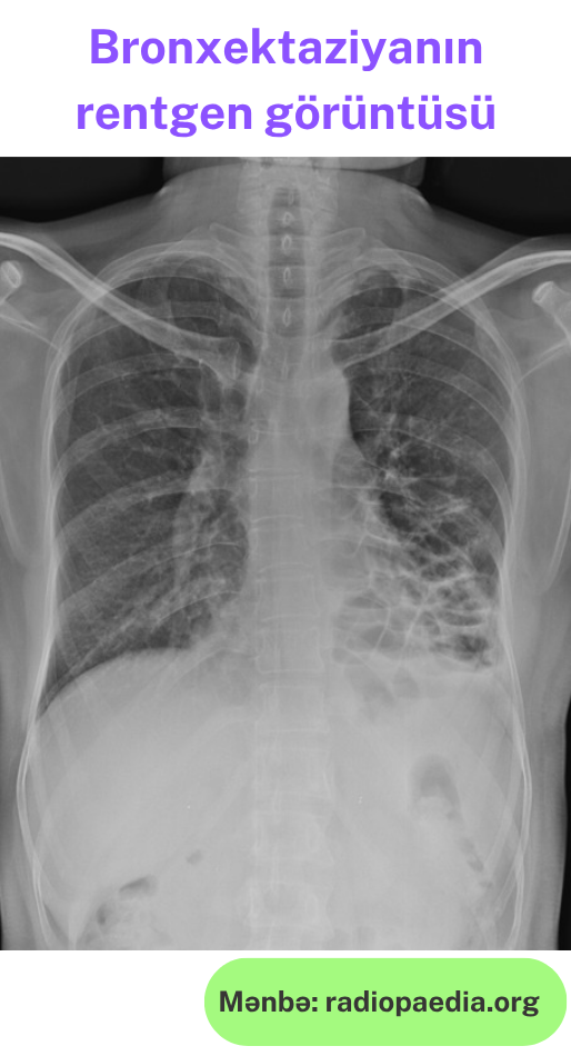
Radioloji müayinə
Rentgen müayinəsi və kompüter tomoqrafiya:
- Bronx divarlarının qalınlaşmasına görə "rels işarəsi" (paralel xətlər)
- Gecikmiş mərhələlərdə: "pətək ağciyər" görünüşü


Müalicə
Konservativ terapiya:
- Siqaretdən imtina
- Bronxial drenaj üçün Quincke pozası
- Peyvəndlər (influenza və pnevmokokka qarşı)
- İnfeksiya zamanı antibiotik müalicəsi
Cərrahi müalicə:
- Müvafiq seqmentin və ya payın rezeksiyası:
- Birtərəfli ortaya çıxan bronxektaziyalar zamanı mümkün müalicə üsuludur